北京市卫生健康委员会
搜索
菜单
首 页
医院概况
医院简介
院长致辞
医院领导
组织结构
规章制度
院务公开
院务公开
医院资源
联系我们
人才招聘
医院文化
文化建设
党团园地
职工之家
最美医院人
患者之声
医院荣誉
历史风貌
护理园地
护理动态
护理门诊
临床护理
护士风采
护理教学
工作动态
医院新闻
媒体聚焦
通知公告
医疗技术
专题专栏
医院视频
院报阅览
科室/专家
科室导航
专家介绍
就医指南
交通路线
出诊信息
停诊公告
特色医疗
MDT多学科会诊
就诊须知
挂号服务
住院须知
方位指南
医保就医
医疗纠纷
医疗转诊
在线服务
患者服务
信息查询
药品价格查询
医疗耗材价格查询
门诊化验单查询
报告查询
体检报告查询
医疗服务价格查询
执业医师信息查询
护士执业注册信息查询
出诊信息查询
停诊信息查询
健康教育
院长信箱
健康自测
在线咨询
医院新媒体
互联网医院
互联网医院概况
互联网动态
信息通知
互联网诊疗
远程门诊
远程会诊
远程诊断
远程培训
远程合作
满意度调查
互联网诊疗入口
下载专区
教学科研
医院教学
医院教学简介
工作动态
本科生教育
研究生教育
医师规范化培训
继续教育
进修学习
科学研究
科学研究简介
科学研究
通知公告
下载专区
本科生教育
研究生教育
住院医师培训
进修实习
继续教育
科学研究
相关链接
搜索
菜单
首 页
医院概况
医院简介
院长致辞
医院领导
组织结构
规章制度
院务公开
院务公开
医院资源
联系我们
人才招聘
医院文化
文化建设
党团园地
职工之家
最美医院人
患者之声
医院荣誉
历史风貌
护理园地
护理动态
护理门诊
临床护理
护士风采
护理教学
工作动态
医院新闻
媒体聚焦
通知公告
医疗技术
专题专栏
医院视频
院报阅览
科室/专家
科室导航
专家介绍
就医指南
交通路线
出诊信息
停诊公告
特色医疗
MDT多学科会诊
就诊须知
挂号服务
住院须知
方位指南
医保就医
医疗纠纷
医疗转诊
在线服务
患者服务
信息查询
药品价格查询
医疗耗材价格查询
门诊化验单查询
报告查询
体检报告查询
医疗服务价格查询
执业医师信息查询
护士执业注册信息查询
出诊信息查询
停诊信息查询
健康教育
院长信箱
健康自测
在线咨询
医院新媒体
互联网医院
互联网医院概况
互联网动态
信息通知
互联网诊疗
远程门诊
远程会诊
远程诊断
远程培训
远程合作
满意度调查
互联网诊疗入口
下载专区
教学科研
医院教学
医院教学简介
工作动态
本科生教育
研究生教育
医师规范化培训
继续教育
进修学习
科学研究
科学研究简介
科学研究
通知公告
下载专区
本科生教育
研究生教育
住院医师培训
进修实习
继续教育
科学研究
相关链接
您所在的位置:
首页
>>
科室介绍
>>
影像科
>>
科室园地
>>
正文
影像科
科室首页
科室介绍
医疗团队
科室园地
科室园地
疑难病例讨论-欢迎各位同仁积极参与讨论
字号:
小
中
大
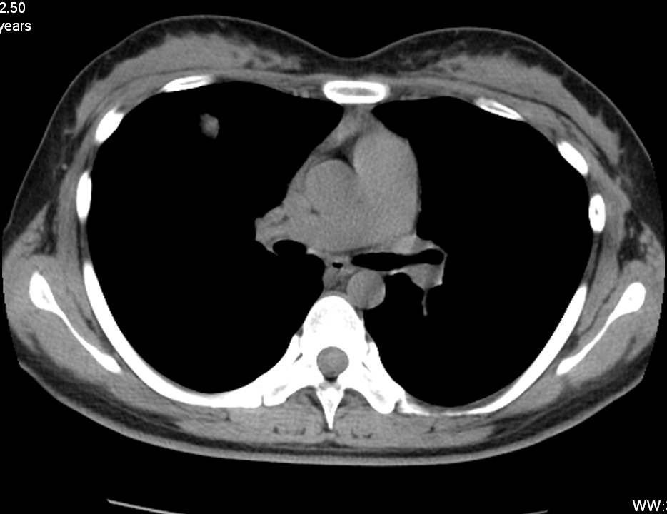
患者:女,25,询问病史体检前一周发热一天用抗炎药后体征恢复正常。曾接触患甲流患者。体检发现右肺结节影,嘱其抗炎治疗两周后复查,复查后示病灶明显缩小,考虑球形肺炎
1月6号胸片显示右肺结节
1月14日CT显示右肺中叶外侧段可见结节灶,毛刺,有索条河胸膜相连
3月7号抗病毒治疗后复查病灶明显吸收
1 肿瘤?
2结核?
3炎症?
分享到:
上一篇:
腰椎前后正位:诊断学要求标准及剂量控制
下一篇:
膝关节前后正位:诊断学要求标准