科室园地
后颅窝巨大脑膜瘤,手术切除效果好

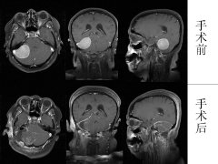
这是一位37岁的女性患者,家住田村附近,因偶尔的头痛前来就诊,一做检查却发现脑子里长了个巨大的瘤子,而且是在后颅窝。她一脸愁容,感觉天都要塌下来了。
后颅窝是脑子里的“特区”,这里空间狭小,却填满了诸多重要结构:脑干是最惹不起的,稍有损伤就可能呼吸停止,或者长期昏迷成为“植物人”;还有就是静脉窦(横窦、乙状窦),里面是高流量的静脉血,一旦破裂很难止血;后颅窝的颅神经最多,一根也伤不得,否则术后嘴歪眼斜、吞咽困难、耳朵失聪,严重影响生活质量;小脑也要尽力保护,否则会有平衡障碍,不能从事精细工作。而这些功能对于一个37岁的女性来说是何等重要啊!
林贵军主任主持术前讨论,分析这是一个起源于小脑幕的良性脑膜瘤,血运丰富,肿瘤膨胀性生长将神经挤向一旁,所以症状轻微,但越是术前症状轻微的患者对术后生存质量的要求也就越高。不过,肿瘤周围应该会有一层菲薄的蛛网膜包裹,能否以此为界切除肿瘤就是这台手术成功的关键,这就需要丰富的经验和过硬的显微手术技巧。
经过充分的术前准备,手术如期进行,由林贵军主任主刀,在手术显微镜下,分离包膜、保护神经、电凝止血,几个小时过去了,肿瘤被一块一块小心地完全切除,所有担心的危险都没有出现,脑干、小脑和神经没有任何损伤。术后病理证实是良性的脑膜瘤。手术后患者恢复很快,未出现任何并发症,几天之后就拆线出院了。
日前,患者来院完成了术后第一次复查,拍核磁片显示肿瘤切除非常干净。她早已回到了原来的工作岗位,恢复了往日灿烂的笑容。

京公网安备 11010802017199 号